HOLA ,
SOY MARÍA JOSÉ CIMADEVILLA
20 AÑOS
DEVOLVIENDO SONRISAS
MI CLÍNICA
EN PRÍNCIPE DE VERGARA
MI TRABAJO
EN LABIO LEPORINO

cerrar

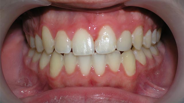
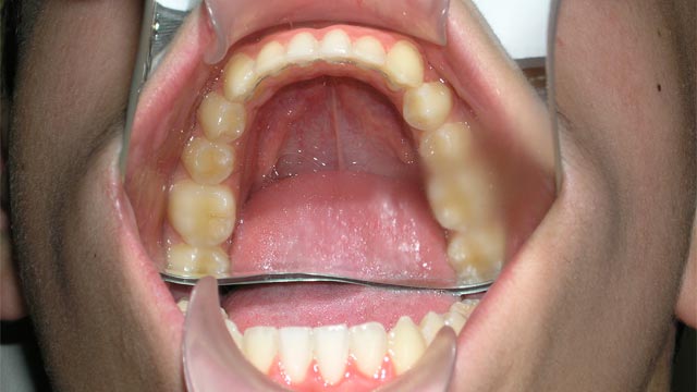
Dentición Mixta y Permanente

  • • Qué es Hendidura Labio Palatina

  • • El tratamiento

  • • El papel del ortodoncista

  • • Momento de la actuación

    1 - Recién nacido.

    2 - Niño - Adolescente

    3 - Adulto

    4 - Otros tratamientos

  • • Galería de casos

TRATAMIENTOS
LAS SONRISAS MÁS DIFÍCILES
OFERTAS ESPECIALES
PREGUNTAS FRECUENTES
CONTACTO