Ortodoncia adultos
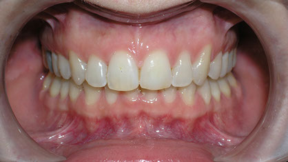
Paciente adulta con apiñamiento,alteración del plano oclusal y mordida profunda.
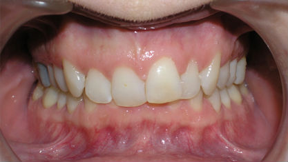
Se le realizo un tratamiento con brackets convencionales durante 20 meses.
cerrar
ortodoncia infantil
ortodoncia adulto
autoligado Damon
cirugía ortognática
ortodoncia invisible
galería de casos