TRATAMIENTOS COMBINADOS

DE ORTODONCIA Y CIRUGÍA

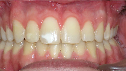
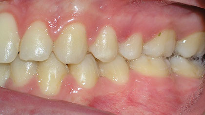
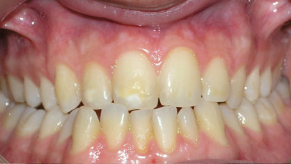
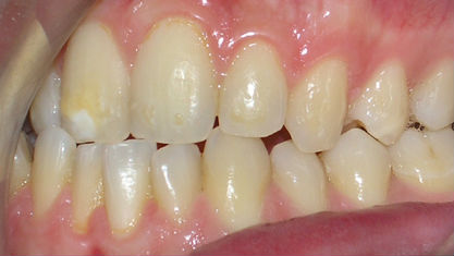
Paciente con clase III (prognatismo mandibular) con dolores de cabeza y dolores en rodillas y pies.

 

Tratamiento combinado postural  y de ortodoncia con brackets y cirugía ortognática.

 

Resultado: buena oclusión, buena estética, desaparecieron todos los síntomas asociados posturales.