Ortodoncia Infantil

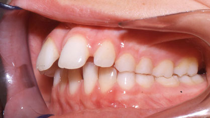
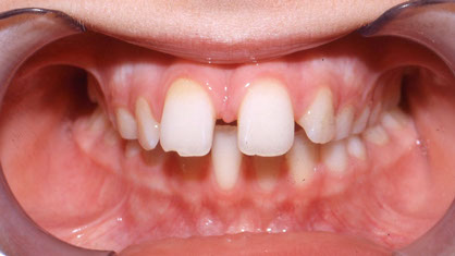
Paciente con paladar estrecho, respirador bucal, clase II esquelética y dental y falta de sellado labial.

 

Tratamiento en dos fases con ortopedia en dentición mixta

y ortodoncia con brackets en dentición permanente

 

Resultado: Buena oclusión, buen perfil, buen sellado labial, respiración normalizada.