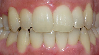
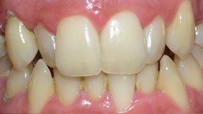
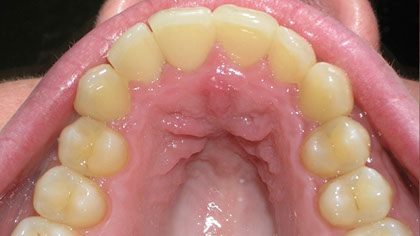
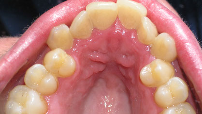
Ortodoncia invisible

Paciente adulta con fuerte apiñamiento, mala higiene por dificultad en el cepillado, mordidas cruzadas dentales y que no quería tratamiento con brackets.

 

Se trató con invisalign durante 18 meses.

 

Resultado: buena alineación y gran mejora de la higiene y estética de la sonrisa.